Cabinet Dentaire Concorde Rivoli Paris 1 er
Drs Ted LEVI, Giulia PETROCCHI - Chirurgiens-dentistes à Paris 1 er
ACCUEIL
LE CABINET
ACTUALITÉS
PLAN D'ACCÈS
URGENCES
VIDÉOS
FICHES CONSEILS
CAS CLINIQUES
QUESTIONNAIRE COVID-19
PRENDRE RDV
242 rue de Rivoli, 75001 Paris
+33 1 47 03 00 07
dentaireparissante@gmail.com
Cabinet Dentaire Concorde Rivoli Paris 1 er
Drs Ted LEVI, Giulia PETROCCHI - Chirurgiens-dentistes à Paris 1 er
ACCUEIL
LE CABINET
ACTUALITÉS
PLAN D'ACCÈS
URGENCES
VIDÉOS
FICHES CONSEILS
CAS CLINIQUES
QUESTIONNAIRE COVID-19
PRENDRE RDV
Cas cliniques spécifiquement ORTHODONTIE
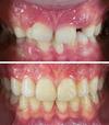
CAS 1
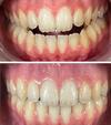
CAS 2
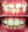
CAS 3
CAS 4
CAS 5
CAS 6
CAS 7
CAS 8
CAS 9
CAS 10
CAS 11
Cabinet Dentaire Concorde Rivoli Paris 1 er
242 rue de Rivoli
75001
Paris
+33 1 47 03 00 07
Politique de confidentialité et charte cookie
Mentions légales
Conditions Générales Utilisation
Charte déontologique
Ordre national
Annuaires chirurgiens dentistes
Création par
Connexion